Quiz Classique
Quiz Medecine

Quiz Imagerie médicale

276 joués - il y a 4 ans

Normal QUIZ 8 QUESTIONS
normal
facile
 
Question 1 / 8

Commençons avec une célèbre technique d'imagerie employant les ultrasons. Utilisée en routine dans les services de gynécologie, cardiologie et autres, elle est indolore, peu coûteuse et peut apporter de nombreuses informations ! En médecine vasculaire, elle est couplée au doppler, ce qui permet d'analyser les flux sanguins ! De quoi parle-t-on ?

facile
 
Question 2 / 8

Un exemple de coupe d'échographie cardiaque. Saurez-vous me donner son nom ? (Faites-vous confiance, c'est faisable ;))

facile
 
Question 3 / 8
Quelle technique d'imagerie permet de visualiser l'arbre bronchique grâce à une petite caméra ? Elle peut être utilisée pour faire une biopsie du poumon, ou encore pour réaliser des analyses bactériologiques (recherche de bacille de Koch responsable de la tuberculose par exemple).

Quelle technique d'imagerie permet de visualiser l'arbre bronchique grâce à une petite caméra ? Elle peut être utilisée pour faire une biopsie du poumon, ou encore pour réaliser des analyses bactériologiques (recherche de bacille de Koch responsable de la tuberculose par exemple).

Quizz.biz est un service gratuit financé principalement par la publicité.
Pour nous soutenir et ne plus voir ce message :
difficile
 
Question 4 / 8

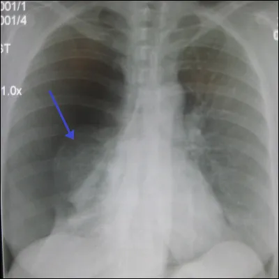
On ne peut pas parler d'imagerie médicale sans aborder les rayons X, qui sont utilisés par exemple dans la radiographie ou le scanner, pour ne citer qu'eux. Je vous ai mis ci-contre une radiographie pulmonaire, saurez-vous trouver le bon diagnostic ?

normal
 
Question 5 / 8

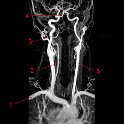
Le scanner peut aussi servir à visualiser les gros vaisseaux du corps humain tels que l'aorte ou les artères carotides. Pour cela, on va utiliser des produits de contraste iodés, qui vont venir opacifier les vaisseaux et ainsi sensibiliser la détection de lésions vasculaires. À quoi correspond le petit 5 sur cet angioscanner ?

normal
 
Question 6 / 8
L'IRM est particulièrement utile dans l'étude du système nerveux central (cerveau et moelle épinière) en offrant une meilleure résolution que le scanner. Ci-contre, on peut observer une hernie discale qui, si elle est située au niveau des vertèbres L5-S1, peut se traduire cliniquement par...

L'IRM est particulièrement utile dans l'étude du système nerveux central (cerveau et moelle épinière) en offrant une meilleure résolution que le scanner. Ci-contre, on peut observer une hernie discale qui, si elle est située au niveau des vertèbres L5-S1, peut se traduire cliniquement par...

difficile
 
Question 7 / 8
En recherche, l'IRM est un outil fantastique ! Par exemple, l'IRM fonctionnelle permet de visualiser de manière indirecte l'activité cérébrale : on peut déterminer exactement quelles zones du cerveau sont activées quand on parle, réfléchit ou même quand on ment ! Ainsi, on a pu ''cartographier'' notre cerveau. Quel lobe est plus particulièrement impliqué dans la vision ?

En recherche, l'IRM est un outil fantastique ! Par exemple, l'IRM fonctionnelle permet de visualiser de manière indirecte l'activité cérébrale : on peut déterminer exactement quelles zones du cerveau sont activées quand on parle, réfléchit ou même quand on ment ! Ainsi, on a pu ''cartographier'' notre cerveau. Quel lobe est plus particulièrement impliqué dans la vision ?

normal
 
Question 8 / 8

On termine ce quiz avec la scintigraphie. Pas de rayons X ou de champ magnétique, ici on utilise la radioactivité : on donne au patient un composé radioactif spécifique qui va par exemple se fixer sur le squelette. On va alors avoir un reflet du métabolisme osseux qui sera augmenté entre autres en cas d'infection ou de processus tumoral. Dans quel service utilise-t-on cette technique ?

Quiz Allô ! Culture générale ?
24 990 joués - 2 ans
Quiz Culture générale (200e quiz)
13 979 joués - 2 ans
Quiz Médecin !
3 436 joués - 1 an
Quiz Ici, on pète la santé !
251 joués - 1 an
Quiz Zzzz !
307 joués - 1 an
Quiz Sens ça, c'est sensass !
185 joués - 2 ans
Quiz Ça rentre, ça rentre !
12 902 joués - 2 ans
Quiz Le monde est stooooone !
110 joués - 2 ans
Quiz Rrrrrétrospective 2023 !
13 266 joués - 2 ans
Quiz Oh ! J'parle tout seul !
138 joués - 2 ans
Quiz Serrez les fesses !
327 joués - 2 ans